جراحی هالوکس والگوس

هالوکس والگوس یک مشکل شایع در اعضای پای انسان است که ممکن است برای فرد باعث ناراحتی و مشکلات در حرکت و فعالیت های روزمره شود. این مقاله به بررسی علل، علائم، تشخیص و روش های درمان انحراف شست پا می پردازد. از جمله روش های پزشکی مانند فیزیوتراپی، استفاده از کفش و ارتز شست پا و استفاده از دراز کننده های عضلات پا به عنوان راه حل های موثر برای از بین بردن این مشکل ترکیبی می باشند. تاثیرات جراحی در نحوه حرکت و کیفیت زندگی فرد نیز بررسی خواهد شد تا فرد با انتخاب بهترین روش درمانی، بهبودی خود را تسریع بخشد.

تماس با ما

انواع روش های جراحی هالوکس والگوس

۱. جراحی کور باند:

این روش جراحی هالوکس والگوس با استفاده از یک باند فلزی کوچک است که در استخوان قرار می‌گیرد و به راحتی از طریق پوست قابل رویت نیست. این باند فلزی تنشی را به انگشتان تمرکز می‌کند و این تنش باعث تنظیم حرکت آن‌ها و تصحیح انحراف می‌شود.

۲. جراحی زیگوماتومی:

این روش جراحی انحراف شست پا انجام می‌شود که خطرات کمتری نسبت به روش کور باند دارد. در این روش بخشی از استخوان انتهایی نزدیک به شست پا برش داده می‌شود تا قسمت سفید انگشتان باز شود.

۳. جراحی ارتوپدی:

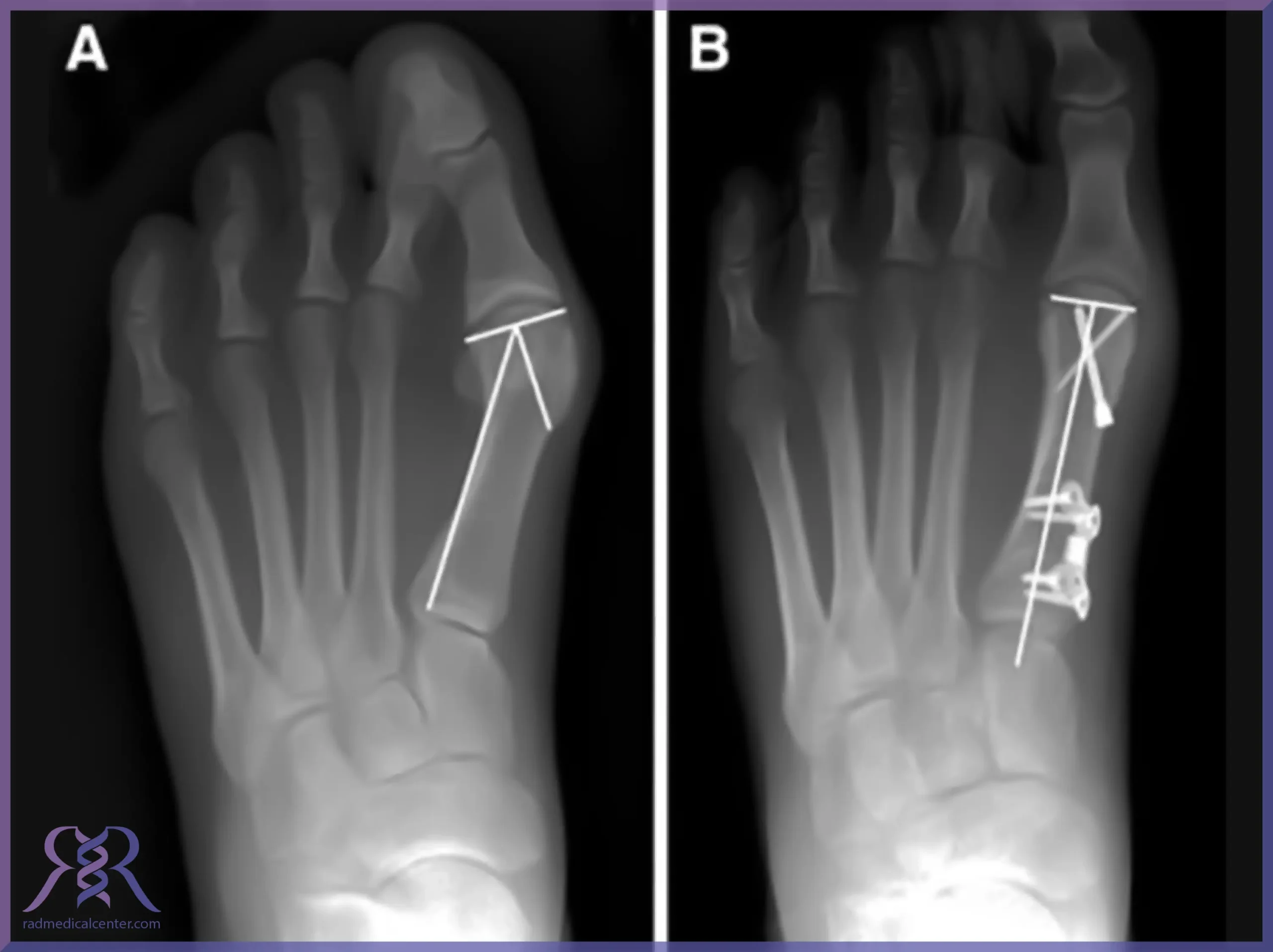
در این روش انحراف شست پا با استفاده از اندازه‌گیری و تصاویر رادیولوژیک تصحیح می‌شود. این روش به دلیل دقت بالای آن در تصحیح هالوکس والگوس بسیار موثر است.

جراحی هالوکس والگوس

 

نکات قبل از جراحی هالوکس والگوس

  • مشورت با پزشک: برای انجام جراحی انحراف شست پا، ابتدا با پزشک خود مشورت کنید تا از نیاز به این جراحی مطمئن شوید و بررسی های لازم را انجام دهید.
  • آماده سازی قبل از جراحی: پزشک شما ممکن است شما را راهنمایی کند که چطور باید برای جراحی آماده شوید، از جمله خوردن یا نخوردن غذا و نوشیدنی قبل از جراحی.
  • شرایط پزشکی: اطمینان حاصل کنید که پزشک خود از تمام شرایط پزشکی شما آگاه است و همچنین از داروهایی که ممکن است مصرف کنید.
  • تدابیر پس از جراحی: پس از جراحی، ممکن است نیاز به کمک دیگران برای کمک به شما در کارهای روزمره داشته باشید، بنابراین آماده باشید تا این کمک ها را بپذیرید.
  • پرسش ها و سوالات: پیش از جراحی، هرگونه پرسش یا ابهامی که دارید را با پزشک خود در میان بگذارید تا اطمینان حاصل کنید و مطمئن شوید که بهترین تصمیم را می گیرید.

نکات مراقبت بعد از عمل انحراف شست پا

  • توجه به توصیه‌های پزشک: بعد از جراحی هالوکس والگوس، حتماً به توصیه‌های پزشک مراجعه کنید و آن‌ها را به دقت دنبال کنید.
  • استفاده از داروها: اگر پزشک شما دارویی برای کمک به کاهش درد و التهاب پس از جراحی تجویز کرده، حتماً از آن استفاده کنید.
  • مراقبت از جراحی: باید منطقه جراحی نظافت داده شده و محافظت شود. همچنین باید به تعویض بانداژها و تغییر دستکش‌ها توجه داشت. استفاده از ارتز جهت کاهش فشار وارده بر اندام( شما می‌توانید ارتز موردنظرتان را از کلینیک ارتوپدی فنی رجبی راد که خود سازنده انواع ارتزها است تهیه کنید.).
  • استراحت: بعد از جراحی انحراف شست پا، به بدنتان زمان کافی برای بهبود بدهید و از نخستین روزها پس از جراحی استراحت کافی داشته باشید.
  • تغذیه مناسب: مواد غذایی حاوی پروتئین و ویتامین C و D می‌تواند فرایند بهبودی پس از جراحی را تسریع کند. همچنین می‌توان از مکمل‌های غذایی مورد تایید پزشک استفاده کرد.
  • فیزیوتراپی: پس از جراحی ممکن است به شما توصیه شود که به جلسات فیزیوتراپی بروید تا عضلاتی که شاید بعد از جراحی ضعیف شده باشند، تقویت شوند.
  • زمان بازگشت به فعالیت‌های روزمره: پزشک شما به شما خواهد گفت که چقدر زمان طول می‌کشد تا به فعالیت‌های روزمره برگردید، پس تا زمان تایید پزشک منتظر باشید.
  • پیگیری با پزشک: حتی بعد از بازگشت به فعالیت‌های عادی، بهتر است که با پزشک خود در تماس باشید و وضعیت خود را به او گزارش دهید.
  • اسنفاده از ارتز مناسب: استفاده ازارتز مناسب باعث کاهش فشار وارده بر پا می‌شود و در نتیجه شما درد کمتری را در دوره نقاهت تجربه می‌کنید. شما می‌توانید این ارتز را از کلینیک ارتوپدی فنی رجبی راد تهیه کنید.

جراحی هالوکس والگوس

نقاهت بعد از عمل هالوکس والگوس

بعد از انجام عمل جراحی انحراف شست پا، مراقبت‌هایی نیاز است که بسته به نوع عمل و توصیه‌های پزشک ممکن است متفاوت باشد. اما در کل نکاتی که باید رعایت کنید شامل موارد زیر می‌شود:

  1. رعایت مواردی مانند خواب بیش از حد، نشستن برای مدت طولانی و بارگذاری بیش‌ازاندازه بر روی پاهای شما را از مرحله اول پس از عمل هالوکس والگوس مانع شوید.
  2. رعایت دستور پزشک در مورد مصرف داروها و تغذیه مناسب برای بهبود سریع‌تر زخم پس از عمل.
  3. رعایت تمامی توصیه‌های پزشک در مورد تعویض بندها و تمیز کردن زخم.
  4. زمانیکه پزشک مجاز دانست برای شما تمرین ورزشی توصیه می‌کنید، به دستورات آن پزشک عمل کنید.

بهترین جراح هالوکس والگوس

برخی از ویژگی‌های بهترین دکتر انحراف شست پا عبارتند از:
۱. تخصص و تجربه: جراح باید دارای تخصص و تجربه کافی در انجام عمل جراحی شست پا باشد.
۲. آموزش و مهارت: باید دارای آموزش‌های لازم و مهارت بالا در این زمینه باشد.
۳. روش‌های پیشرفته: باید با روش‌های جدید و پیشرفته جراحی انحراف شست پا آشنا و مسلط باشد.
۴. تجهیزات مدرن: باید دارای تجهیزات و ابزارهای جدید و مدرن برای انجام جراحی باشد.
۵. تعهد و پشتکار: باید دارای تعهد و پشتکار به بهبود و بازسازی شست پا بیماران خود باشد.
۶. ارتباط خوب با بیمار: باید دارای مهارت‌های ارتباطی خوب برای برقراری ارتباط موثر با بیماران خود باشد.
۷. پس از درمان مراقبت: باید برنامه‌های مراقبتی پس از جراحی مناسب برای بیماران خود داشته باشد.

 

جراحی هالوکس والگوس

سوالات متداول

۱. هالوکس والگوس چیست؟

هالوکس والگوس یا پیچش شست پا یک وضعیت غیر طبیعی است که شست پا به جانب (به سمت داخل یا خارج) می‌چرخد به طوری که قوس قدم تغییر می‌کند.

۲. چه علائمی ممکن است نشانه انحراف شست پا باشند؟

علائمی که معمولاً با انحراف شست پا همراه هستند عبارتند از: درد در منطقه شست پا، خستگی زودرس پا، مشکلات در حرکت و مانور پایی، لگن یا زانو، مشکلات در مدت طولانی راه رفتن و انشعاب از پاها.

۳. چه مشکلات بهداشتی و زندگی روزمره ممکن است ناشی از هالوکس والگوس باشند؟

هالوکس والگوس می‌تواند باعث ایجاد مشکلاتی مانند ترک خونگی در زانو، آرتریت مفصلی، درد عضلات، خم شدن هملنگی، خستگی زودرس و کاهش تعادل و تناسب بدن شود.

۴. آیا جراحی برای اصلاح انحراف شست پا ضروری است؟

در صورتی که انحراف شست پا باعث مشکلاتی مانند درد شدید، مشکلات در حرکت و عملکرد روزمره یا آسیب به عضلات و مفاصل شود، جراحی ممکن است ضروری باشد. اما در برخی موارد همچنین ممکن است بتوان از روش‌های درمانی غیر جراحی مثل فیزیوتراپی یا استفاده از زیرزانوی مخصوص استفاده کرد.

۵. چقدر طول می‌کشد تا بهبودی پس از جراحی هالوکس والگوس رخ دهد؟

زمان بهبودی پس از جراحی هالوکس والگوس بستگی به میزان مشکلات واقعی در پا دارد، اما معمولاً بین ۶ تا ۱۲ هفته زمان می‌برد تا بیمار به طور کامل بهبود یابد و بتواند به طور معمولی حرکت کند.